The Presidio of San Francisco is celebrating its 250th anniversary
Across the United States this year, people are making plans to celebrate the 250th anniversary of the Declaration of Independence. While much of the focus on site-specific celebrations will be on the East Coast, there’s an important West Coast connection to 1776. Spain also established El Presidio de San Francisco in 1776 to guard San Francisco Bay
How to plan a slow weekend in New York State’s Orange County
Just 50 miles north of New York City, Orange County offers small-town Hudson Valley charm, where rolling hills and Appalachian peaks give way to winding rivers and glistening lakes. Across the county, you’ll find local artisans and boutique shops, alongside farm-to-table dining and a range of weekend stays — from historic manor houses to small
Discover the story behind Spain’s prized jamón ibérico de bellota
This article was produced by National Geographic Traveller (UK). I watch, tentatively at first, as the pigs lumber around us, their long, dark bristles glinting in the muted morning light. A low chorus of grunts rises and falls across the grassy plain as they press their black hooves into the damp earth. A few approach
Where to eat clam chowder in Boston
This article was produced by National Geographic Traveller (UK). “Clam chowder is a religion in these parts,” says Kathy Sidell, with a zeal more commonly reserved for champion hometown sports teams. “It’s where Boston rules,” adds the chef and founder of the hip seafood outfit Saltie Girl, which now has a sister venue over in
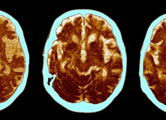
The curious link between Alzheimer’s disease and cancer
In recent years, scientists have been starting to ask themselves this question: What if Alzheimer's disease isn’t simply a disease of the brain? It certainly has always seemed to be. The defining feature of Alzheimer's—the most common form of dementia, affecting millions of people worldwide—is the buildup of proteins that cause amyloid plaques and tau tangles in
Once Thought To Support Neurons, Astrocytes Turn Out To Be in Charge
New experiments reveal how astrocytes tune neuronal activity to modulate our mental and emotional states. The results suggest that neuron-only brain models, such as connectomes, leave out a crucial layer of regulation. Introduction The human brain is a vast network of billions of neurons. By exchanging signals to depress or excite each other, they generate
200 expériences dans la Station spatiale : ce que Sophie Adenot va vraiment tester...
Dans sa signification grecque, la lettre « e » ou Epsilon, est liée aux petites contributions, aux choses minuscules qui pourraient paraître insignifiantes, mais qui ont pourtant un impact bien réel. Pourtant, même si c'est le nom qui a été attribué à la mission de Sophie Adenot dans la Station spatiale internationale (ISS), il est
Un chercheur français a découvert les raisons de la surchauffe de l’Atlantique
L'accélération sans précédent du réchauffement climatique depuis 2020 suscite beaucoup d'interrogations : sur terre comme dans les océans, la hausse des températures a fait un bond exceptionnel depuis six ans. Pour certains scientifiques, le réchauffement climatique lié aux émissions de gaz à effet de serre ne suffit pas à expliquer l'extraordinaire surchauffe des eaux de surface
Cette trithérapie a fait disparaître des tumeurs du pancréas chez la souris… une première...
À l'aide d'une trithérapie, une équipe du centre de recherche sur le cancer de Madrid (Espagne) est parvenue à éliminer complètement des tumeurs pancréatiques chez la souris sans développement de résistance . Mais le chemin vers une utilisation sur l'Homme risque d'être long. La France est aujourd'hui le 4e pays dans le monde en nombre
« On l’attendait depuis 60 ans » : l’origine des rayons cosmiques se précise
Pour les astrophysiciens , un rayon cosmique de très haute énergie - ou UHECR, pour ultra-high-energy cosmic ray - correspond à un rayon cosmique dont l'énergie est supérieure à un exaélectronvolt (EeV), soit 1018 eV. C'est bien plus que l'énergie de n'importe quelle autre particule issue de rayons cosmiques. Pas moins de 100 000 fois plus, aussi, que celle atteinte









