We might get another iPhone Air this year after all
Image: Anyron Copeman / Foundry Summary created by Smart Answers AI In summary: Macworld reports conflicting information about the iPhone Air 2’s future, with some experts predicting delays or cancellation while leaker Fixed Focus Digital suggests a Fall 2026 release. The original iPhone Air’s disappointing sales performance has significantly disrupted Apple’s plans for developing a
Space Command’s case for orbital logistics: Why the Pentagon is being urged to think...
ORLANDO, Fla. — The Pentagon for decades has treated launch as the central logistical problem of military space. Once a satellite reaches orbit, it is expected to operate with the fuel it carries from Earth until it fails or runs dry. That model, Gen. Stephen Whiting argues, is no longer sufficient for a domain that
Un chasseur d’aurores boréales dévoile comment se préparer pour les prochaines tempêtes solaires et...
Si l'on en croit les photos postées en masse sur les réseaux sociaux, les Français étaient nombreux à être sortis la nuit, dernièrement, pour admirer et immortaliser les aurores boréales . Mais comment faire pour avoir plus de chances d'en observer ? La réponse avec Jérôme Cantalupo, « chasseur » d'aurores boréales en Laponie et
Apple’s next wearable could be an AI pin
Image: Apple Summary created by Smart Answers AI In summary: Macworld reports that Apple is developing an AI wearable pin, potentially launching in 2025 to compete with OpenAI’s similar device designed by Jony Ive. The AirTag-sized device would feature aluminum-and-glass construction, dual cameras, three microphones, and a speaker for AI interactions. This project represents Apple’s
Dieses Gerät macht 4 Liter Benzin pro Tag aus Luft
Kühlschrank-großes Gerät gewinnt Benzin aus Luft © Aircela Science 26.01.2026 Die innovative Maschine verwandelt Kohlendioxid in gewöhnlichen Treibstoff für Autos. Leider gibt es einen Haken. Die Maschine ist fast zu schön, um wahr zu sein: Ein Gerät, das in etwa so groß ist wie ein Kühlschrank, filtert das CO2 aus der Atmosphäre und verwandelt es
17.600 mAh Batarya, Dahili Full HD Projektöre Sahip Kaya Gibi Telefon Tank X Tanıtıldı:...
8849 Tech isimli firma, Tank X isimli dışarıda kullanım için tasarlanan ultra dayanıklı telefonunu duyurdu. 4 iPhone 17 ağırlığındaki Cihaz 17.600 mAh batarya ve dahili FHD projektör gibi özelliklerle geliyor. Son zamanlarda ultra dayanıklı telefonların sayısında ciddi bir artış yaşanıyordu. 8849 Tech isimli firma da bu kategoriden ürün üreten şirketlerden biriydi. Teknoloji devi, şimdi de
Snowed in? Watch albatrosses nest on a sunny Pacific island instead
Midway Atoll, one of the older formations in the Hawaiian Islands chain, provides nesting habitat for millions of seabirds, including Laysan albatross and black-footed albatross. David Patte/USFWS Get the Popular Science daily newsletter💡 Breakthroughs, discoveries, and DIY tips sent six days a week. While winter is raging in an unusually large swath of the United
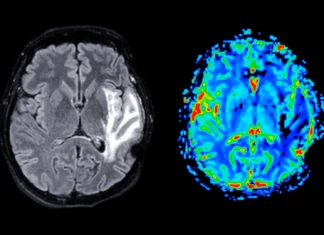
Obesity and high blood pressure may directly cause dementia
People who have obesity and high blood pressure may be more likely to develop dementia, according to new research published in The Journal of Clinical Endocrinology & Metabolism. Dementia is an increasing global public health concern, and there is currently no cure. People affected by the condition experience a serious decline in mental abilities, including
Space Force ends ‘Resilient GPS’ satellite program
Illustration of a Resilient Global Positioning System (R-GPS) satellite network. Credit: Astranis WASHINGTON — The U.S. Space Force has ended an exploratory effort to add smaller, lower-cost navigation satellites to bolster the Global Positioning System, shelving a program that had been identified as a priority. The effort, known as Resilient GPS, or R-GPS, began in
NSW shark attacks: How can you swim safely and avoid a shark bite?
Beaches along the NSW coast have been closed after four shark attacks in two days, with swimmers urged not to swim in murky water. Northern Beaches Council said all beaches in its area would remain closed on Tuesday and Wednesday, and this would be reviewed on an ongoing basis. Experts recommend swimming between the flags









